CHAIRMAN: DR. KHALID BIN THANI AL THANI
EDITOR-IN-CHIEF: PROF. KHALID MUBARAK AL-SHAFI

Life Style / Technology

Tech’s flagship CES show counts on meat, cars to draw crowds 06 Jan 2020 - 10:19 pm
A Yummly wireless, smart meat thermometer is displayed at CES Unveiled during the 2020 CES in Las Vegas, January 5, 2020. Reuters/Steve Marcus
Uber will sell bus tickets through its app in Las Vegas 06 Jan 2020 - 10:17 pm
A photo illustration shows the Uber app logo displayed on a mobile telephone as it is held up for a posed photograph in central London, October 28, 2016. Reuters / Toby Melville
CES Gadget Show: Toilet paper robot and tracking the elderly 06 Jan 2020 - 10:14 pm
An attendee interacts with Lovot the companion robot by Grooxe X, during the CES Unveiled event at the 2020 Consumer Electronics Show (CES) in Las Vegas, Nevada, on January 5, 2020. AFP / Robyn Beck
CES Gadget Show: Surveillance is in - and in a big way 06 Jan 2020 - 08:59 pm
LG Electronics President and CTO I.P. Park speaks during a LG press event for CES 2020 at the Mandalay Bay Convention Center on January 6, 2020 in Las Vegas, Nevada. CES, the world's largest annual consumer technology trade show, runs January 7-10 and fea
Musk plans to come to Shanghai for debut of made-in-China Tesla 06 Jan 2020 - 01:20 pm
China-made Tesla Model 3 vehicles are seen at the Shanghai Gigafactory of the U.S. electric car maker in Shanghai, China December 30, 2019. REUTERS/Yilei Sun - RC2I5E9LQORA/File Photo
Bosch unveils smart virtual sun visor for cars at tech show 06 Jan 2020 - 09:42 am
Ryan Todd of Bosch North America demonstrates a smart sun visor that uses artificial intelligence to block glare at the media preview of the 2020 Consumer Electronics Show in Las Vegas, Nevada on January 5, 2020. AFP / Robert Lever
Insider Q&A: How YouTube decides what to ban 05 Jan 2020 - 08:53 pm
A Cuban youtuber records a magicians performance for her YouTube channel in Havana on February 26, 2018. AFP / Yamil Lage
Wildfires threaten unique critters on Australian 'Galapagos' 05 Jan 2020 - 06:40 pm
Wildlife Information, Rescue and Education Services (WIRES) volunteer and carer Tracy Dodd holds a kangaroo with burnt feet pads after being rescued from bushfires in Australia's Blue Mountains area, December 30, 2019. Reuters/Jill Gralow
Russia unveils climate 'adaptation' plan 05 Jan 2020 - 06:40 pm
A flame burning natural gas is seen at the Joint stock company
Samsung to unveil new devices next month in San Francisco 05 Jan 2020 - 10:01 am
Peninsula
OnePlus Concept One smartphone features 'invisible camera' 04 Jan 2020 - 03:57 pm
Event photo: OnePlus 6 with all-glass design; IANS
Google News discontinues digital magazines as no readers 04 Jan 2020 - 12:12 pm
File Photo
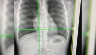
Apple Airpod as X'mas gift lands up in 7-yr-old's stomach 04 Jan 2020 - 12:02 pm
X-rays shows the wireless headphone inside the body.
Digging up the dirt - could soil contain the answer to food shortages? 03 Jan 2020 - 06:50 pm
A scientist at Rothamsted Research holds a glass bottle with soil sample dating back to October 1846 in Harpenden in southeast England, September 12, 2019. Thomson Reuters Foundation / Thin Lei Win
Water harvesting has added benefit for Kenya: less flooding 03 Jan 2020 - 06:50 pm
Representative image
Millions of sparks: Weather raises Australia's fire danger 03 Jan 2020 - 05:13 pm
A firefighter hosing down trees and flying embers in an effort to secure nearby houses from bushfires near Nowra tow New South Wales, Australia, December 31, 2019. AFP / Saeed Khan
Dell to let Apple users control iphones from their laptop 02 Jan 2020 - 07:54 pm
A customer looks at laptops at a Dell outlet in Beijing December 13, 2010. Reuters/Christina Hu
Think twice before giving apps access to info stored on phone 02 Jan 2020 - 12:54 pm
File Photo